Первый случай в мировой литературе
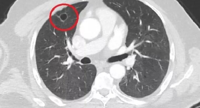
В результате тестов, проведенных одному пациенту, которому был поставлен диагноз рак легких и который был направлен на срочную операцию, было установлено, что это коронавирус имитировал рак легких.
Таким образом, было установлено, что коронавирус имитировал рак легких, и это впервые в мировой медицинской литературе. И стоит отметить, что после проведенного лечения против Ковид-19, у пациента лёгкие оказались чистыми.
Команда Russian Türkiye